Iranian Journal of War and Public Health

eISSN (English): 2980-969X
eISSN (Persian): 2008-2630
pISSN (Persian): 2008-2622
JMERC
0.5
Volume 17, Issue 2 (2025)                   Iran J War Public Health 2025, 17(2): 205-209 | Back to browse issues page

Print XML PDF HTML


History

How to cite this article
Mortazavi H, Sadeghi H, Dalirani S, Ladanmoghaddam M. Multiple Oral Squamous Cell Carcinoma in a Patient with a History of Chemical Warfare. Iran J War Public Health 2025; 17 (2) :205-209
URL: http://ijwph.ir/article-1-1605-en.html
Download citation:
BibTeX | RIS | EndNote | Medlars | ProCite | Reference Manager | RefWorks
Send citation to:

Rights and permissions
1- Department of Oral Medicine, School of Dentistry, Shahid Beheshti University of Medical Sciences, Tehran, Iran
* Corresponding Author Address: Department of Oral Medicine, School of Dentistry, Shahid Beheshti University of Medical Sciences, Daneshjoo Boulevard, Tehran, Iran. Postal Code: 1983969411 (mahsa.lm74@yahoo.com)
Full-Text (HTML)   (173 Views)
Introduction
Oral squamous cell carcinoma (OSCC) is one of the most common head and neck cancers, and its incidence has increased among younger age groups in many countries in recent decades [1]. The wide range of occurrences of oral cancers cannot be attributed to a single cause, as it is usually the result of several etiological factors that act over time. Approximately 75% of all oral cancers are associated with tobacco and alcohol consumption in any form. Another significant etiological factor is oral potentially malignant disorders (OPMDs), which are characterized by an increased likelihood of progressing to malignancy. However, not every type of disorder will inevitably transform into a malignant condition [2]. These lesions include more than twenty entities, such as leukoplakia, erythroplakia, erythroleukoplakia, oral lichen planus, oral submucous fibrosis, and oral dysplasia, which exhibit various clinical appearances, histological subtypes, and risk factors/etiologies [3]. Additionally, exposure to carcinogenic and toxic substances, including chemical warfare agents, can also contribute to the development of oral SCC [4].
The incidence of multiple oral squamous cell carcinomas is less than 10%. The etiological factors remain unclear; however, some studies have identified chewing betel quid and oral submucous fibrosis as primary causes [5]. In another study, multiple oral squamous cell carcinoma was reported following allogeneic stem cell transplantation complicated by chronic graft-versus-host disease [6].
Warfare often involves the use of chemical agents, either as weapons (e.g., mustard gas, Agent Orange) or through the destruction of industrial infrastructure, which can release carcinogenic substances into the environment. Prolonged or high-level exposure to such toxic chemicals has been linked to an increased risk of various cancers.
One important group of chemicals used in warfare is alkylating agents, such as sulfur mustard, which are known to damage DNA. Studies have shown that individuals exposed to sulfur mustard during wars (e.g., the Iran-Iraq War) had significantly higher risks of developing cancers [7].
Oral cancer, particularly squamous cell carcinoma, may be associated with such exposures due to the inhalation or ingestion of carcinogens, which come into direct contact with the oral mucosa. Inflammatory responses and DNA mutations caused by these chemicals may lead to malignant transformation over time [8].
Chemical warfare agents exert their carcinogenic potential either directly, by alkylating DNA bases and causing strand breaks, or indirectly, through the induction of chronic inflammation and immune dysregulation [9]. Sulfur mustard, for instance, has been shown to generate highly mutagenic adducts that interfere with DNA replication and repair, thereby accelerating the process of malignant transformation [10]. Survivors of the Iran-Iraq War who were exposed to sulfur mustard have been reported to develop various cancers, including respiratory, hematological, and skin malignancies, at higher rates than unexposed populations [11]. Similarly, studies have suggested that such individuals may also have an elevated risk of head and neck cancers, particularly OSCC, due to the direct contact of inhaled agents with the oral and pharyngeal mucosa [12].
Prolonged exposure to warfare-related toxins may also interact synergistically with other lifestyle-related risk factors. For example, individuals exposed to mustard gas who also use tobacco or alcohol may face multiplicative risks, as these substances converge on pathways of DNA methylation, p53 inactivation, and epithelial cell dysplasia [13]. This highlights the importance of investigating OSCC in populations with a documented history of chemical warfare exposure.
The aim of this study was to report an unusual case of multiple oral squamous cell carcinoma in a patient with a history of chemical warfare.

Patients and Methods
A 60-year-old male patient was referred to the Department of Oral Medicine at Shahid Beheshti University in Tehran, Iran, with the chief complaint of a painful ulcer in his mouth that had persisted for the past two months. The patient was a heavy smoker, typically consuming at least one pack of cigarettes a day for the last 40 years. His medical history included hypertension and lung disease related to chemical warfare exposure. Medications taken by the patient included Losartan, Aspirin, Salbutamol inhaler, Salmeterol inhaler, and Clobetasol.
The growth of the lesions was sudden in onset and increased to their current size within a two-month period. The patient had used Nystatin oral suspension for many years without any improvement before visiting our department. Two weeks prior to his visit, he applied AAFTIN Gel (containing licorice root extract) to the lesions, which exacerbated their condition.

Findings
Extra-oral examination revealed bilateral, palpable, multiple, firm, mobile, and tender submandibular lymph nodes. Intra-oral examination showed the following: First, a white, non-removable, non-homogeneous plaque lesion on the left pterygomandibular and buccal mucosa, which extended to the left labial mucosa, left maxillary mucosa, ridge, and vestibule. Second, an exophytic lesion with a verrucous surface in the left retromolar pad, where ulcers were observed in some areas; this lesion measured 3cm by 4cm and had a firm consistency. Third, a non-removable, non-homogeneous plaque with a rough and papillary surface on the left maxillary ridge. Fourth, a white exophytic lesion with a verrucous surface on the anterior mandibular ridge, also with a firm consistency (Figure 1). The panoramic view requested for the patient was normal in the regions of the lesions and other areas.


Figure 1. A: An exophytic lesion with a verrucous surface in the left retromolar pad, where ulcers were observed in some areas, measuring 3 cm by 4 cm and exhibiting firm consistency; B: A non-removable, non-homogeneous plaque with a rough and papillary surface on the left maxillary ridge; C: A white exophytic lesion with a verrucous surface on the anterior mandibular ridge, also with firm consistency.

Based on clinical and radiographic findings, the most probable diagnosis was PVL with malignant changes. An incisional biopsy of the lesions was performed. Samples were taken from three areas of the mouth: the labial mucosa of the anterior mandible, the left posterior mandible mucosa, and the left posterior maxillary mucosa, measuring 1cm by 0.5cm by 0.3cm, 2.2cm by 0.6cm by 0.4cm, and 2.3cm by 0.8cm by 0.3cm, respectively. The samples were submitted for histopathological examination.
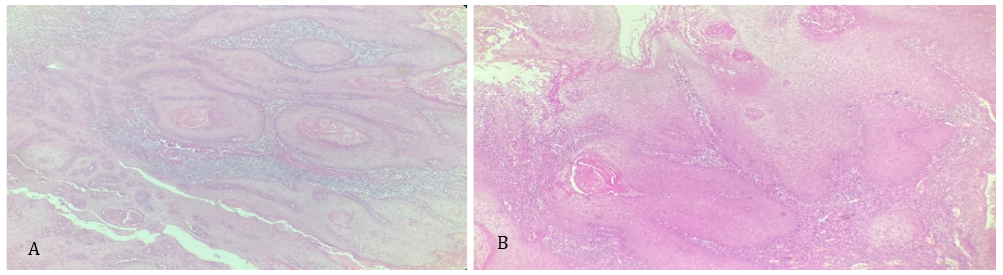
Histological sections revealed a malignant epithelial lesion covered by hyperparakeratinized stratified squamous epithelium, exhibiting exophytic, endophytic, and papillary proliferation with club-shaped rete ridges. The epithelial cells showed hyperchromatism, pleomorphism, an increased nuclear-to-cytoplasmic (N/C) ratio, mitoses, prominent nucleoli, and keratin pearl formation. Focally, islands of malignant epithelial cells invaded the superficial connective tissue, and microabscess formation was observed. In the underlying connective tissue, severe chronic inflammatory cell infiltration was noted. The final diagnosis was consistent with early invasive squamous cell carcinoma (Figure 2).


Figure 2. Sections of the labial mucosa of the anterior and posterior mandible show that the epithelial cells exhibit hyperchromatism, pleomorphism, an increased nuclear-to-cytoplasmic (N/C) ratio, mitoses, prominent nucleoli, and keratin pearl formation. Focally, islands of malignant epithelial cells invaded the superficial connective tissue, and microabscess formation was observed.

The patient underwent complete excision of the primary lesions along with unilateral neck dissection. Following the surgery, the patient received chemotherapy and radiotherapy for a total of 30 sessions. After this treatment period, the patient maintained a normal condition for almost a year. However, during the recent follow-up, a recurrence was noted in the retromolar pad region, prompting the initiation of chemotherapy once again. Re-surgery was not performed due to the patient’s condition. Unfortunately, the patient passed away within a few days of the excisional biopsy.

Discussion
OSCC is one of the most common and aggressive malignancies worldwide. Typically, OSCC occurs primarily and as a solitary lesion, while multifocal cases are considered a rare complication. The etiology of multiple OSCC cases remains unclear [5].
War can increase the incidence of oral cancer for various reasons. One factor is the use of carcinogenic substances and toxins, while another is the psychological effects that occur after war, which may lead individuals to consume more cigarettes and alcohol—both of which are known etiologies of oral cancer [14].
It is difficult to determine whether multifocal SCC is related to chemical exposure; however, the study by James et al. indicated that dermal toxicity was the most appropriate measure of toxicity. Nonetheless, inhalational toxicity must also be considered when utilizing simulants with high volatility or vapor pressure. Oral involvement is possible only when improper protocols are employed to assist the affected individual, potentially leading to exposure through hand-to-mouth transfer or spreading to more sensitive areas of the body, such as the face, eyes, or nose. Many studies have been conducted on skin exposure to simulants and oral involvement, but due to the difficulty in controlling the risk of accidental consumption of simulants, any chemical classified in the GHS red category should not be used, as this may result in unreliable outcomes [15].
Various chemicals have been employed as weapons in wars, with World Wars I and II being among the most significant instances. Another conflict that involved the use of chemical weapons was the Iran-Iraq War, where the use of sulfur mustard has been confirmed in numerous articles [16]. In a study conducted on chemical victims of the Iran-Iraq War, Zafarghandi et al. concluded that sulfur mustard contributed to an increased incidence of cancer [17]. Other studies have identified sulfur mustard gas as a cause of mutations and chromosomal aberrations [16].
As previously mentioned, SCC is a multifactorial disease. In this reported case, a multifocal pattern of SCC was observed, which is rare. The atypical presentation seen in this case appears to result from the cumulative effect of several risk factors. One of the most significant risk factors is a history of chemical exposure during the war, which led to severe illnesses. Another risk factor is smoking, which the patient reportedly engaged in heavily due to the psychological effects of the war. Based on these observations, it seems that a history of chemical exposure may significantly contribute to the increased incidence of oral cancers. Therefore, it is recommended that future studies investigate the impact of war-related exposures and carcinogenic agents on the prevalence and clinical presentation of oral cancers.

Conclusion
OSCC typically occurs primarily and as a solitary lesion; multifocal occurrences are considered a rare complication. This rare form of the disease can be caused by various factors, with one possible cause being chemical warfare.

Acknowledgments: The authors would like to express their gratitude to the staff of the Department of Oral Medicine at Shahid Beheshti University of Medical Sciences for their support in clinical assessment and patient care. We also appreciate the cooperation of the patient and his family in sharing his medical history.
Ethical Permissions: This case report was conducted in accordance with the ethical standards of the institutional and national research committee, as well as the 1964 Helsinki Declaration and its later amendments. Written informed consent was obtained from the patient’s legal guardian for the publication of this case and the accompanying images.
Conflicts of Interests: The authors declare that there is no conflict of interest regarding the publication of this paper.
Authors' Contribution: Mortazavi H (First Author), Main Researcher (35%); Sadeghi HMM (Second Author), Methodologist (10%); Dalirani S (Third Author), Assistant Researcher (10%); Ladanmoghaddam M (Fourth Author), Introduction Writer/Discussion Writer/Statistical Analyst (45%)
Funding/Support: This study received no specific grant from any funding agency in the public, commercial, or not-for-profit sectors.
Keywords:

References
1. Ng JH, Iyer NG, Tan MH, Edgren G. Changing epidemiology of oral squamous cell carcinoma of the tongue: A global study. Head Neck. 2017;39(2):297-304. [Link] [DOI:10.1002/hed.24589]
2. Anwar S, Tyagi N, Mathias YL, Javed D. A five year retrospective study of oral potentially malignant disorders (Opmds) and oral squamous cell carcinoma (OSCC) and their associated risk factors. J Datta Meghe Inst Med Sci Univ. 2023;18(3):460-7. [Link] [DOI:10.4103/jdmimsu.jdmimsu_94_23]
3. Akrish S, Eskander-Hashoul L, Rachmiel A, Ben-Izhak O. Clinicopathologic analysis of verrucous hyperplasia, verrucous carcinoma and squamous cell carcinoma as part of the clinicopathologic spectrum of oral proliferative verrucous leukoplakia: A literature review and analysis. Pathol Res Pract. 2019;215(12):152670. [Link] [DOI:10.1016/j.prp.2019.152670]
4. Monaghan NP, Duckett KA, Nguyen SA, Newman JG, Kejner AE, Albergotti WG. Agent orange and head and neck cancer: A systematic review and meta-analysis. World J Otorhinolaryngol Head Neck Surg. 2024;11(1):138-46. [Link] [DOI:10.1002/wjo2.198]
5. Lin X, Wu X, Gomaa A, Chen J, Wu L, Xie X, et al. Analysis of risk factors for multiple primary oral squamous cell carcinoma: A cohort study. Clin Oral Investig. 2020;24(9):3147-55. [Link] [DOI:10.1007/s00784-019-03189-0]
6. Katz J, Saleh W, Alharbi H, Farhadfar N. Multiple oral squamous cell carcinoma 6 years after allogeneic stem cell transplantation complicated with chronic graft-versus-host disease: A case report. SAGE Open Med Case Rep. 2022;10:2050313X221118203. [Link] [DOI:10.1177/2050313X221118203]
7. Poursaleh Z, Harandi AA, Vahedi E, Ghanei M. Treatment for sulfur mustard lung injuries; New therapeutic approaches from acute to chronic phase. Daru. 2012;20(1):27. [Link] [DOI:10.1186/2008-2231-20-27]
8. Razavi SM, Abdollahi M, Salamati P. Cancer events after acute or chronic exposure to sulfur mustard: A review of the literature. Int J Prev Med. 2016;7:76. [Link] [DOI:10.4103/2008-7802.182733]
9. Balali‐Mood M, Hefazi M. Comparison of early and late toxic effects of sulfur mustard in Iranian veterans. Basic Clin Pharmacol Toxicol. 2006;99(4):273-82. [Link] [DOI:10.1111/j.1742-7843.2006.pto_429.x]
10. Kehe K, Szinicz L. Medical aspects of sulphur mustard poisoning. Toxicology. 2005;214(3):198-209. [Link] [DOI:10.1016/j.tox.2005.06.014]
11. Ghanei M, Harandi AA. Long term consequences from exposure to sulfur mustard: a review. Inhal Toxicol. 2007;19(5):451-6. [Link] [DOI:10.1080/08958370601174990]
12. Ebadi A, Moradian T, Mollahadi M, Saeed Y, Refahi AA. Quality of life in Iranian chemical warfare veteran's. Iran Red Crescent Med J. 2014;16(5):e5323. [Link] [DOI:10.5812/ircmj.5323]
13. Gupta B, Johnson NW, Kumar N. Global epidemiology of head and neck cancers: a continuing challenge. Oncology. 2016;91(1):13-23. [Link] [DOI:10.1159/000446117]
14. Cigic L, Martinovic D, Martinic J, Kovic M, Druzijanic A, Galic I, et al. Increased prevalence of oral potentially malignant lesions among Croatian War invalids, a cross-sectional study. J Clin Exp Dent. 2023;15(9):e734-41. [Link] [DOI:10.4317/jced.60715]
15. James T, Collins S, Marczylo T. Identification of novel simulants for toxic industrial chemicals and chemical warfare agents for human decontamination studies: A systematic review and categorisation of physicochemical characteristics. Int J Environ Res Public Health. 2021;18(16):8681. [Link] [DOI:10.3390/ijerph18168681]
16. Muhammad BA. Effects of chemical weapons on cancer development in human. Kurd J Appl Res. 2016;1(1):50-60. [Link] [DOI:10.24017/science.2016.1.1.5]
17. Zafarghandi MR, Soroush MR, Mahmoodi M, Naieni KH, Ardalan A, Dolatyari A, et al. Incidence of cancer in Iranian sulfur mustard exposed veterans: A long-term follow-up cohort study. Cancer Causes Control. 2013;24(1):99-105. [Link] [DOI:10.1007/s10552-012-0094-8]

Add your comments about this article : Your username or Email:
CAPTCHA